Widefield (WF) fundus photography was introduced more than 20 years ago by Optos. The original technology provided an impressive field of view but offered limited resolution, so it was used primarily by optometrists who offered healthy eye WF screening on a patient pay basis and was not initially embraced by ophthalmologists. In recent years, high-resolution WF and ultra-widefield (UWF) (Figure 1, and Figure 2) cameras have entered the market, and the importance of peripheral imaging has become widely accepted.1,2 Available devices are the Optos California, Zeiss Clarus 500 and CenterVue Eidon.
While the technology does not replace dilated ophthalmoscopy, many ophthalmology practices have acquired UWF or WF cameras for medical applications (see, “Study group defines widefield terminology”). Like us, many are now considering the addition of healthy eye screening programs, as well. Our practice in West Los Angeles has been considering this option for the past three years and has now utilized this technology for the past year with encouraging results.
THE CLINICAL VALUE OF WF PHOTOS
WF photos offer proven value in pathology identification and disease management,3 and published research supports the practice of using WF to screen for retinal pathologies, such as diabetic retinopathy.4
At our practice, doctors view the high-resolution images on flat screens in their office before seeing the patient. They can concentrate on and magnify areas of interest, gaining a detailed understanding of the condition of the patient’s retina.
In approximately 25% of patients, we find pathology that we may have missed on routine ophthalmoscopy. This would sometimes lead to additional tests, such as OCT, to rule out wet AMD.
The most common finding is fine macular drusen visible that is difficult to see on indirect examination. Other findings have been mild diabetic retinopathy (microaneurysms), choroidal nevi and cholesterol plaques.
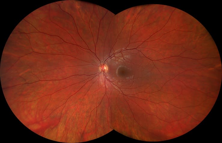
The image in Figure 3 shows a patient with a normal OCT but with definite diabetic lesions in the periphery. Although there were no findings on the OCT, the peripheral lesions found in an UWF image were concerning as clinical studies have shown that predominantly peripheral lesions are four times more likely to progress to proliferative diabetic retinopathy over four years. Finding these peripheral lesions allows us to manage the diabetic retinopathy more effectively.4-6
EFFICIENCY AND PATIENT SATISFACTION
Because doctors view the screening images prior to seeing the patient, they know what to expect; therefore, they can be more precise and effective in the indirect exam, and can compare findings with imaging in real time. Doctors also appreciate the value of photo documentation for comparison on follow-up visits.
WF photography improves efficiency by allowing for a focused exam of the entire retina. This can be difficult with traditional ophthalmoscopy due to patient discomfort with full dilation, bright lights, lid squeezing and uncontrolled eye movements. Also, the photos are usually obtained by technicians before the ophthalmologist examines them.
Our patients appreciate these WF photographs as well. The process generally entails much less bright light in the eyes and sometimes reduces the need for strong mydriatic drops, which can blur vision for hours.
Both eyes are photographed in less than five minutes, and the images are reviewed with patients on a large, flat screen monitor in the exam rooms. This provides them with a better understanding of their disease and the importance of complying with treatment.
Patients particularly appreciate receiving their images, either immediately via Bluetooth on their smartphones or later via email. Several new patients have come to us asking for pictures of their retinas to show off and often refer others to our “high-tech” practice.
THE ECONOMICS OF WF PHOTO SCREENING
In this era of constantly reduced insurance reimbursement and increasing demands for reporting and quality improvement, we are encouraged by the results of our screening program. We have experienced improvements in care and patient satisfaction while also appreciating incremental revenue.
Our charge for the imaging exam includes WF color photos of both eyes and detailed evaluation of the images before the patient exam. The fee is payable at time of service. Most patients opt for the screening images. Also worth noting is that the fee patients pay for WF photographs is higher than that for fundus photos for retinal pathology paid for by Medicare or insurance.
Cash revenue collected for screening in the first six months was $11,068 from 164 patients. In addition, the screening exams identified 69 patients with pathology that required medical photos. We collected an incremental $7,100 in the fundus photography billing for these patients. The total six-month revenue increase was $18,168 or approximately $3,000 per month.
This is impressive considering that one of our two doctors offering WF photos only practices three days a week; the other, who only routinely examines patients three days a week, concentrates primarily on cataract patients often referred by optometrists — screening photographs are not suggested to these patients. On this basis, the incremental revenue available to comprehensive ophthalmologists practicing full-time would be considerable.
Study group defines widefield terminology
Last year, a group of researchers formed the International Widefield Imaging Study Group with the aim of agreeing upon terminology for more accurately describing retinal diagnostic images. The group defined WF images as, “capturing retinal anatomy beyond the posterior pole, but posterior to the vortex ampullae,” and UWF images as, “capturing retinal anatomy anterior to the vortex vein ampullae in all four quadrants.” Figure 1 is an UWF image with vortex ampulla marked in each quadrant.
This terminology was presented by Netan Choudhry, MD, FRCSC, at the 2018 Retina Society Meeting, held in San Francisco, Calif.
BILLING AND CODING CONSIDERATIONS
When our practice explored the screening concept, we consulted with an AAO coding expert and learned several important things. First, an Advance Beneficiary Notice (ABN) is not needed for patient-pay screening photos. The consultant explained that, “An ABN is required if you are unsure Medicare will reimburse for a service. In this case, we know they will not, as it is considered a screening, so it would not be necessary to provide an ABN. The patient needs to clearly understand why this service is not payable by their payer,” and why they are responsible for the cost.
To address this need, the billing consultant suggested we use an informed consent document to educate patients and document their consent (for a sample informed consent document, see the online version of this article). In our experience, most patients agree to the photographs based on the doctor’s recommendation. We also show a short informational video, by the company Rendia, to those who request additional information.
We advise those considering adding patient-paid WF photography to consult with billing experts at the AAO or the ASCRS to obtain advice about implementing such a service at their practice.
Second, even if pathology is seen, a screening image is never billable to CMS. Correct billing of fundus photos (92250) to CMS requires a written physician order and associated diagnosis (ICD-10). Pathology found during screening may require a follow-up visit. In this case, both the visit and any medically necessary photos would likely be billable.
The fact that a “positive screening photo” is not billable can be confusing, because in the practice of medicine, baseline chest X-rays, EKGs and blood chemistries are routinely performed as screening tests and are covered by most health insurance. However, the billing code for fundus photography (92250) specifically requires an order and diagnosis. This is inconsistent with other screening tests, but it is the law.
SUMMARY
New technology is allowing WF imaging to have a much greater impact in ophthalmology. WF fundus photography is the most impressive technology we have added to our practice since we began using OCT for optic nerve and retinal examinations. Our experience shows that WF screening photos improve care while increasing practice revenue. OM
REFERENCES
- The Writing Committee for the Optos Peripheral Retina (OPERA) study, et al. Peripheral Retinal Changes Associated with Age-Related Macular Degeneration in the Age-Related Eye Disease Study 2. Ophthalmology. 2017;124:479-487.
- Nagiel A, Lalane RA, Sadda SR, Schwartz SD. ULTRA-WIDEFIELD FUNDUS IMAGING: A Review of Clinical Applications and Future Trends. Retina. 2016;36:660-678.
- Silva PS, Cavallerano JD, Sun JK, et al. Peripheral Lesions Identified by Mydriatic Ultrawide Field Imaging: Distribution and Potential Impact on Diabetic Retinopathy Severity. Ophthalmology. 2013;120:2587-2595.
- Hirano T, Imai A, Kasamatsu H, et al. Assessment of diabetic retinopathy using two ultra-wide-field fundus imaging systems, the Clarus and Optos systems. BMC Ophthalmol. 2018;18:332.
- Silva PS, Cavallerano JD, Sun JK, et al. Nonmydriatic Ultrawide Field Retinal Imaging Compared with Dilated Standard 7-Field 35-mm Photography and Retinal Specialist Examination for Evaluation of Diabetic Retinopathy. Am J Ophthalmol. 2012;154:549-559.
- Silva PS, Cavallerano, JD, Haddad NMN, et al. Peripheral Lesions Identified on Ultrawide Field Imaging Predict Increased Risk of Diabetic Retinopathy Progression over 4 Years. Ophthalmology. 2015;122:949-956.







