The Malyugin Ring: Dealing With Small Pupils in Phaco
A Russian surgeon has an answer for IFIS.
BY BORIS MALYUGIN, M.D., PH.D.
Unfortunately, current pharmacological approaches for managing a small pupil during cataract surgery have limitations. Patients whose pupils respond poorly to the pharmacological protocols present significant challenges. The most significant problems for the surgeon are decreased visualization, iris trauma due to incarceration into the wound, iris chafing, pupillary margin damage by the phaco needle and others.
All of these problems compromise the surgery and increase the risk for complications. In this article, I will describe the use of the device that I have invented for small-pupil management, the Malyugin Ring (MST, Redmond, Wash.).
Mechanical Dilation
There is no general recommendation or solution to the small pupil problem because the strategies for pupil enlargement greatly depend on surgeon skill and preferences, as well as on intraoperative situation. Most surgeons decide to dilate the pupil mechanically at the time of the surgery if pharmacological agents fail.
There are four main mechanical dilation methods: synechiolysis, mechanical stretching, cutting of the iris tissue and iris retraction. Most of the surgical maneuvers for enlarging the pupil and preventing its intraoperative constriction are not safe enough. They can lead to an increased risk of iris sphincter tear, bleeding, iris damage, posterior capsule tears and loss of the vitreous body.
But not all patients require pupil dilation protocols with the mechanical devices. If the iris tissue is rigid and the diameter of the pupil is about 4.0 mm to 4.5 mm, an experienced surgeon, especially when using different modifications of phaco-chop technique, can effectively remove cataract and avoid significant trauma of the anterior segment tissues. Conversely, if the iris tissue is flaccid and atonic, even if the pupil is reasonably wide, such as with IFIS, there is a significant risk of complications.
The postoperative complications can include an atonic pupil of irregular shape with poor cosmetic result and photophobia.
Developing the Malyugin Ring
The idea of the pupil expansion device came to me about 9 years ago. The basic concept of this device was the scroll principle of catching and holding the pupillary margin. The device I created is a square-shaped implant with four circular loops that hold the iris at equidistant points. It has one-piece design, with the curls at each angle of the ring providing balanced stretching and gentle holding of the iris tissue (Figure 1).
Fig. 1: The Malyugin Ring. (All images courtesy of Dr. Malyugin)
The video describing my technique was presented at the ASCRS Film Festival in 2006 and won first prize. But it was not until I met Larry Laks from MST that progress really began. We played with different materials. The ring made of 5/0 polypropylene showed the best results in experimental and clinical trials.
MST came up with the idea of making an injection device for the ring. Again, several prototypes were tried. The injector was a great improvement, having a significant impact on the ease of handling the Ring during the surgery.
Then, we developed a single-use pre-sterilized version, with improved design of both the Ring holder and inserter. The Malyugin Ring System now consists of a sterile single-use inserter and holder. The dark blue Ring is located inside the holder and can be visualized through its upper portion.
The Malyugin Ring can be used with conventional SICS (Small Incision Cataract Surgery) as well as MICS (Microincision Cataract Surgery).
Surgical Technique in SICS
After topical anesthesia is applied, a clear-corneal incision is performed and ophthalmic viscosurgical device (OVD) is injected in the anterior chamber to stabilize it and protect the corneal endothelium. Surgical steps in SICS are as follows in the patient with cataract complicated by pseudoexfoliation syndrome and small pupil:
The ring is loaded in the inserter. It is then inserted through an unenlarged 2.2-mm clear-corneal incision. The tip of the inserter is positioned at the center of the anterior chamber. While pushing on the thumb button, the ring is released from the tip until the distal scroll is engaged with the distal iris. Both lateral scrolls will then start to emerge from the tube of the inserter and one (or both) of them simultaneously catch the iris margins (Figure 2).
Fig. 2: In small-incision surgery, inserter allows the Ring to catch the iris margin.
The proximal scroll is expelled from the cannula/inserter and the injector is moved until the inserter hook is no longer holding the ring. In this position, the proximal scroll is lying on top of the iris. The inserter is withdrawn from the eye and the hook is used to engage the iris margin with ring scrolls (Figure 3).
Fig. 3: The hook helps position the Malyugin Ring correctly.
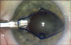
Capsulorhexis is then performed using forceps. Hydrodissection and hydrodelineation are performed with BSS until the nucleus can be rotated freely inside the capsular bag. My choice for performing phacoemulsification is the Millenium machine (Bausch & Lomb), utilizing a "quick chop" technique (Figure 4).
Fig. 4: The Malyugin Ring provides pupil stability during phaco.
Bimanual irrigation/aspiration is then used to clean residual cortical fibers from the capsular bag. The capsular bag is then filled with the cohesive OVD. Then a foldable IOL is inserted using an injector. The Malyugin Ring is then removed from the eye in the reverse order.
In order to retract the Ring completely inside the inserter barrel, it is necessary to press with the side-port instrument on the lateral scrolls where they merge together (Figure 5). With this maneuver, the surgeon can avoid catching the rim of the inserter with the lateral scroll, which is located above, and subsequent twisting of the ring. Alternatively, the surgeon can decide not to retract the Ring completely in the inserter and withdraw it from the eye at the moment when half of the Ring is located inside the inserter and both lateral scrolls are merged.
Fig. 5: Withdrawing the Ring with the inserter after small-incision surgery.
After Ring removal, the pupil constricts spontaneously.
Surgical Technique in MICS
In MICS with incisions less than 2.0 mm, the injector cannot enter the anterior chamber. Wound-assisted technique of the Malyugin Ring insertion is used in such cases. The positioning of all four Ring scrolls is performed with the help of the hook.
My preference is a 1.8-mm incision with the Stellaris (Bausch & Lomb). After lens removal and IOL implantation, the Ring scrolls are disengaged from the papillary margin and the device is positioned on top of the iris. The hook inserted through the main incision catches the proximal Ring scroll and retracts the device from the eye. When both lateral scrolls come close to the incision, a spatula is used to depress the internal lip of the corneal tunnel to avoid catching it with the right lateral scroll. The Ring is fully retracted from the eye with a forceps (Figure 6).
Fig 6. The Ring is withdrawn with a forceps after MICS surgery.
Positive Results of Studies
I used the Malyugin Ring System personally in more than 100 procedures. Clinical trials have shown that intra-and postoperative complications with the Malyugin Ring were either reduced or comparable with conventional hooks. Our clinical studies demonstrated superior endothelial cell protection, as well as a decrease of hyphaemas, fibrinoid reactions and early postoperative hypertension in the Malyugin Ring group as compared with iris hooks.
A clinical study by David Chang, M.D., describing the use of the 6.25-mm Malyugin pupil expansion device was published in the Journal of Cataract and Refractive Surgery in 2008. He concluded that "the disposable Malyugin pupil expansion device was highly effective at maintaining an adequate pupil opening in eyes with IFIS. It is easier and faster to use than iris retractors and other pupil expansion rings and represents an excellent small-pupil strategy."
Six Advantages of the Malyugin Ring
Adequate transpupillary access to the lens is essential for the success of phaco procedures. We believe that our irisretraction technique with the Malyugin Ring System has at least six distinct advantages:
1. The single-use ring is as effective as other conventional iris hooks; however, compared with other commonly used iris retractors, it is friendlier to the eye due to its welldistributed stretching, gentle holding of delicate iris tissue and the easier and less traumatic implantation. It has no sharp or pointed endings that can damage the eye.
2. An equidistant positioning of the loops holds the iris tissue, ensuring correct position of the iris and preventing the effects of an overstretched pupil that are often observed in the incorrect positioning of iris hooks.
3. The device applies pressure to the sphincter muscle over an area that is wider than with iris hooks. It is particularly useful in patients for whom cutting or tearing of the iris tissue should be avoided, especially in the presence of rubeosis, chronic anterior uveitis or systemic coagulopathy. The iris rim is safely fixed in the Ring's loops and there is no risk of iris aspiration during phacoemulsification.
4. Additional incisions are not required. This instrument is inserted through the one main incision, thus reducing surgical trauma and minimizing the risk of contamination and postoperative inflammatory reaction. In the technique, when the square pupil is formed by the conventional iris retractors, the iris can prolapse through the wound. This is particularly true in patients with relatively wide paracenteses and atonic and atrophic irises that seem particularly floppy.
5. Sufficient room is available for nucleus fragmentation and removal. The device configuration allows a surgeon to work in the deep lens layers below the iris plane and the squareshaped pupil formed by the ring. This provides enough space for grooving and cutting the nucleus and increases peripheral visualization during the chopping phase.
6. The ring is inserted and removed from the eye with an inserter, reducing the risks of contamination and disturbance of the incision's architecture and wound integrity.
Summary
Different techniques of nucleus disassembly in small-incision cataract surgery require a wide and unobstructed view of the anterior portion of the lens, as well as of the instruments inserted into the anterior chamber. The other important factor is sufficient manipulability of the instruments, which is critical for the successful completion of surgery. A pupil that fails to dilate makes cataract removal more difficult.
The Malyugin Ring adequately dilates the pupil and prevents iris sphincter damage. The ease of inserting and removing the device expands the pupil, protects the iris sphincter during surgery, and allows the pupil to return to its normal shape, size and function after the operation.
Careful intraoperative manipulation and insertion of the Ring, with liberal use of an ophthalmic viscoelastic device, helps to prevent complications. Most of our postop patients had pupils almost indistinguishable in appearance than before surgery and functional activity was preserved.
This is among the most effective methods to increase the size of even very rigid small pupils during phacoemulsification surgery. The Malyugin Ring is likely to reduce postoperative abnormalities in pupil size and function. OM
| Boris Malyugin, M.D., Ph.D., is professor of Ophthalmology, chief of the Department of Cataract and Implant Surgery and deputy director, General S. Fyodorov Eye Microsurgery Complex State Institution, Moscow, Russia. He can be contacted at: Beskudnikovsky Blvd. 59A, Moscow, 127486, Russia Tel +7 495 488 8511, Fax +7 499 905 8051, e-mail: boris.malyugin@gmail.com |
|







