Moving Forward With Spectral-domain OCT
The next generation of OCT is considerably faster, more detailed and more accurate than any predecessor, making it a potentially invaluable tool for ophthalmologists and surgeons alike.
BY ERIN MURPHY, CONTRIBUTING EDITOR
The next generation of optical coherence tomography (OCT) will change how doctors examine and treat patients. Called spectral- or Fourier-domain OCT, these devices use a spectrometer with up to 2,048 pixels to collect many times more data than time-domain systems ever could. Time-domain OCT is capable of 400 A-scans per second, but spectral OCT systems boast a remarkable 20,000-plus A-scans per second, and the Spectralis (Heidelberg Engineering) gathers 40,000 A-scans per second.
The improved data collection delivers higher-resolution images, and the rapid image capture improves image clarity. In some of these systems, registration is based on ocular structures instead of relying on patient fixation and the expertise of the technician. These features minimize artifact from patient movement, and the results are exceptional images, whether you want a 3-D view, a slice, volume measurements, topographic mapping or an OCT-registered fundus image. There are also different windows that can individually highlight the vitreoretinal and chorioretinal layers.
The Cirrus HD-OCT (Carl Zeiss Meditec), the RTVue-100 (Optovue), the Spectralis Family (Heidelberg Engineering) and the Spectral OCT/SLO (OTI), are available now, and two other devices are likely to enter the market soon: the 3D OCT-1000 (Topcon) and the Copernicus SOCT (Reichert).
Early adopters have much to say about these exciting new advances.
Speed, Registration and Resolution
The characteristic features of spectral-domain OCT — speed, registration and resolution — elicit a great deal of excitement from practitioners who have relied on standard OCT images and spent a great deal of time and effort comparing images.

The 3D OCT-1000 (Topcon) offers a seamless interface with Topcon's IMAGEnet software and integration with other types of imaging, including red-free, fluorescein, indocyanine green and autofluorescence.
"This simply blows the old technology away," says Nalin J. Mehta, M.D. Dr. Mehta practices at the Colorado Retina Center in Denver, where he uses the RTVue-100. "The resolution and the volume of data — 65 times more than standard OCT — are such a leap forward in data density and subsequent accuracy. There's no extrapolation needed to fill in the gaps between the standard low-density scans of conventional OCT, so the information is far more complete. New algorithms will help us look at the data in many different ways, and all of it is easy to view and generated quickly."
Philip J. Rosenfeld, M.D., Ph.D., professor at Bascom Palmer Eye Institute, Miller School of Medicine, University of Miami, has worked closely with Carl Zeiss Meditec in developing the Cirrus HD-OCT. Like Dr. Mehta, he sees great promise in the data volume and resolution provided by spectral-domain OCT. "This technology takes imaging to a whole new level," he says. "The 3-D representation of the macula helps us better understand disease, and we can get more reliable measurements of thicknesses and volumes. It improves our ability to diagnose and track disease and measure treatment outcomes."
Improved diagnoses are expected across the board.

The Cirrus HD-OCT (Carl Zeiss Meditec) provides axial cross-sectional and 3-D imaging and measurement of posterior ocular structures, including retina, retinal nerve fiber layer (RNFL), macula and optic disc.
"Spectral-domain imaging is much sharper and crisper than time-domain imaging, and the resolution is higher," agrees Marc de Smet, M.D., Ph.D., of the Academic Medical Center, University of Amsterdam, Netherlands. He has been using the Spectral OCT/SLO. "It has made diagnoses easier and more precise. Tracking is much easier, particularly in patients with macular pathologies who have trouble maintaining focus."
Another key feature — fast acquisition speed — has impressed David Huang, M.D., Ph.D., director of Doheny Laser Vision Center in Los Angeles and associate professor of ophthalmology at the University of Southern California. Dr. Huang is a coinventor of OCT and helped design software for the RTVue-100. He explains, "To me, the main practical appeal is that we can take 26,000 scans in 1 second. So I designed grid scanning patterns that capture high-definition 3-dimensional diagnostic information from the macula or the optic nerve in less than 1 second. Most people can hold their eyes still for less than 1 second, so it's a tremendous improvement from the 2 seconds that were required to get low-definition 3-D data when using time-domain OCT. We now can cover a wider area with many more sampling points and less motion error to yield much more robust diagnostic parameters for glaucoma and macular diseases."
Time-domain OCT has some drawbacks, which is why this new spectral technology is so appealing to practitioners.

"The biggest problem with time-domain OCT is registration. Images often don't correlate well. Patients might move as they react to the flash, or the technician might turn off the flash. Either way, there's no point-to-point correlation, and artifacts are common," says Yale L. Fisher, M.D., attending surgeon at the Manhattan Eye, Ear & Throat Hospital and clinical professor of ophthalmology at New York Presbyterian Hospital. Dr. Fisher has done investigative work with the 3D OCT-1000 instrument. "Spectral-domain gathers information quickly. It gives us point-to-point registration with little effort or skill on the technician's part."
In addition to using feature-based, rather than fixation-based methods, spectral-domain OCT improves registration and accuracy with its high speed. "Speed is key," says Richard Rosen, M.D., vice chairman and director of research at The New York Eye and Ear Infirmary in Manhattan, who is using the Spectral OCT/SLO. "Patients move involuntarily from their heartbeat and breathing — up to 150 microns, or the thickness of the retina. The speed of the spectral-domain OCT practically eliminates that artifact."
Scott W. Cousins, M.D., director of the Duke Center for Macular Diseases at the Duke University Eye Center in Durham, N.C., uses the Spectralis OCT. He reflects on the clinical application of spectral-domain OCT's speed, registration and resolution.
"For the first time, we have the ability to accurately quantify specific changes like volume, central thickness and retinal pigment epithelium (RPE) height and thickness. This technology's improved resolution and detail will help us diagnose disease earlier and monitor disease progression more effectively," he predicts. "There's a paradigm shift with new technology, but spectral-based OCT will become the gold standard for determining whether to treat, retreat or stop treatment."

The Spectralis HRA+OCT (Heidelberg) precisely locates, aligns and tracks retinal structures and provides dual-wave imaging that captures the reference scan and cross section simultaneously, creating an accurate reliable reference point.

Diagnosing and Tracking AMD
Like many retinal specialists, Dr. Mehta is enthusiastic about the clinical application of spectral-domain OCT for diagnosing and following AMD.
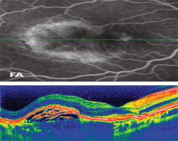
"Conventional OCT indicated the presence of early new vessel growth in AMD in a more indirect fashion, with changes such as cystoid retinal edema and the accumulation of subretinal fluid, which are the result of underlying CNV pathology. With Fourier-domain OCT however, we now can see more detailed characteristics of CNV activity," explains Dr. Mehta, who uses the RTVue-100. "With twice the resolution of standard OCT, spectral domain gives us excellent images of the choroid-RPE complex. Topographical subanalysis of this region will assist us in earlier diagnosis and treatment of CNV, before overlying retinal changes occur."

The RTVue-100 (Optovue), which provides full retinal and inner retinal thickness maps, has the capability to visualize fine detail beneath the map and quantify the height and size of lesions.
Dr. Cousins, who uses the Spectralis OCT, points out the benefits of new registration technology. "The spectral-domain OCT is registered to landmarks on the retina, so it measures the same place every time. It even registers other built-in imaging modalities to each other. We get robust and accurate results, including more accurate evidence of thickening. It's a huge advance for tracking AMD over time."
According to practitioners, image resolution is vastly better with the new technology. "I get the exact information I need for diagnosis with excellent resolution," says Dr. Huang, who uses the RTVue-100. "I can get a broad view of the lesions with the RPE elevation and retinal thickness maps, and home in on the details of the choroidal neovascular membrane with high-definition cross-section images that can be lined up with fluorescein angiography.


The SOCT Copernicus (Reichert) provides 3-D retinal imaging including zooming, rotating, sectioning and surface reconstruction.
Dr. Fisher, who has done investigative work with the 3D OCT-1000 instrument, says "three-dimensional volume visualization has proved to be most useful in managing problems like retinal thickening. The software allows me to remove superficial layers of the retina easily and look at deeper tissues."
The combination of resolution and registration strengthens disease tracking, according to Dr. de Smet. He says his Spectral OCT/SLO "provides the ability to clearly localize images on the retinal surface better than other systems. On follow-up, I can obtain volume measurements with high precision and subtract images from one exam to the next."
Dr. Rosen's experiences with the same device have informed his treatment decisions. "We can see the thickness and topography much more accurately and find out if the retina is swollen or elevated, and simultaneous integrated microperimetry makes it easy to map structure to function. It makes a significant diagnostic difference in our decision to treat or not," he explains.

The Spectral OCT/SLO (OTI) provides a confocal scanning ophthalmoscope and high-resolution OCT images through the same optics for pixel-to-pixel correspondence.


A Look at the Choices |
---|
Cirrus HD-OCT by Carl Zeiss Meditec (Currently on the market)
RTVue-100 by Optovue (Currently on the market)
Spectralis Family by Heidelberg Engineering Spectralis HRA + OCT, Spectralis IR + OCT, Spectralis HRA (Currently on the market)
Spectral OCT/SLO by OTI (Currently on the market)
SOCT Copernicus by Reichert (Awaiting marketing approval at press time)
3D OCT-1000 by Topcon (Not available for sale in the United States; pending FDA clearance)
|

Dr. Mehta is pleased with his ability to map the retina in detail.
"Retinal thickening and subretinal fluid accumulation used to be my principal treatment cues with conventional OCT," says Dr. Mehta. "Now I can analyze changes in topography at the RPE level before retinal changes even begin, which may help to answer the critical questions we all face in AMD management: When is treatment indicated? Is it working? And are the lesions quiet enough to modify the treatment protocol? This new technology will make us more proactive in the management of exudative AMD."

This clinical perspective — present and future — pulls together all of the promise of spectral-domain OCT's speed, registration, resolution and data volume. Viewed alongside advances in AMD drugs and other imaging devices, spectral-domain OCT helps make this a very exciting time for practitioners who diagnose and treat AMD. OM
The Future of OCT: What's Next? |
---|
OCT has made an enormous technological leap. What do its early adopters foresee in the future?
— Philip J. Rosenfeld, M.D., Ph.D.
— David Huang, M.D., Ph.D.
— Yale L. Fisher, M.D.
— Marc de Smet, M.D., Ph.D.
— Richard Rosen, M.D.
— Nalin J. Mehta, M.D.
— Scott W. Cousins, M.D. |
