Someone once said, “The time required to do complex anterior segment surgery is measured with calendars, not clocks.” While this may qualify as hyperbole, it does reflect how long these cases can sometimes seem. Surgeons often find themselves in precarious situations resulting in an unwanted adrenaline rush while performing complex cataract surgery that can certainly make the minutes feel like hours. However, with careful planning and execution, surgeons can reduce the time and costs that regularly burden these cases.
One of the reasons complex cataract cases take more time and require more resources is that they are technically more challenging and aren’t as predictable as routine cataract surgery. A surgeon may not know what kind of zonular support the lens will have, or, if a penetrating injury has a ruptured posterior capsule, they might encounter a never-ending fountain of vitreous (Figures 1 and 2). With many patients on alpha-1 antagonists, despite the use of intracameral agonists and pupil expansion rings, we still encounter cases in which the iris will prolapse through the paracentesis the moment it is made, creating a complication before we even get started.
The unpredictability of complex cases and the uncertainty of what will unfold during the operation is the draw — and the aversion — for many surgeons. In this article, we will look at several examples from “routine” complex surgery to extraordinarily complex cases.
THE USE OF CPT CODE 66982
First let’s look at what the Centers for Medicare and Medicaid Services (CMS) consider complex cataract surgery to justify the use of CPT code 66982. According to CMS.gov , “The use of CPT code 66982 is not related to the surgeon’s perception of the surgical difficulty. The use of this code is governed by the need to employ devices or techniques not generally used in routine cataract surgery.”
For example, an NO6NC6 cataract with pseudoexfoliation might be one of the most difficult cases you’ve had all year, but if the surgery doesn’t include one of the items below, you cannot bill 66982:
- Insertion of iris retractors through additional incisions
- Mechanical expansion of the pupil using hooks
- Creation of a sector iridectomy with subsequent suture repair of iris sphincter
- Use of a Malyugian ring and multiple iris sphincterotomies created with scissors
- The need to support the lens implant with permanent intraocular sutures
- Placement of a capsular support ring necessary to allow secure placement of an IOL
- Performance of pediatric cataract surgery with IOL insertion
- Use of intraocular dyes (eg, trypan blue or indocyanine green) to stain the lens capsule in the setting of a mature cataract
About 9% of current cases fall under the criteria of CPT code 66982. Of all Part B Medicare claims paid during 2016, complex cataract surgery is about 9% of all cataract extractions with implantation of an IOL. Surgeon utilization rates vary; some may perform complex cataract surgery more than others.1 A recent study showed that pseudoexfoliation and miotic pupils were the most common causes of complications during cataract surgery.2 Hence, a majority of 66982 cases may include the use of pupil expansion devices, capsular tension rings (CTR) and capsular stains (Figure 3).
For the surgeon to be reimbursed at the higher level 66982 code, CMS requires that proper documentation of the procedure is made to support the use of the code.3 It is good that surgeons are compensated for the advanced technical skill needed for the management of miosis or pseudoexfoliation, but, as cases become increasingly complex with increased surgical time and risk, unfortunately there is no added reimbursement (Figure 4).
BOARDING CHECKLIST FOR COMPLEX ANTERIOR SEGMENT SURGERY
- Microsurgical instruments
- Bimanual vitrectomy set
- Bimanual irrigation and aspiration
- Vitreous stain
- Capsule stain
- Capsule hooks
- Iris hooks
- Modified CTR
- Capsular tension segment
- CTR with disposable injector
- 10-0 nylon for suture guided CTR technique
- 6-0 polypropylene suture for rivets and beltloops
- 30 G 1/2” hypodermic needles for marking
- Caliper
- Axis marker
- Marking pen
STREAMLINING COMPLEX CASES
My experience
Early in my career, I took an interest in taking on complex cases, and my practice quickly grew as a referral site for difficult anterior segment surgery. Over time, I came to understand why many surgeons refer these cases out given the longer time required to do them with relatively low reimbursement. But, along the way, I learned how to streamline complex cases to save on costs and time.
I typically handle complex cases at the end of the surgical day to minimize disruption to the patient flow in the event of delay due to the complexity of the case. I do not limit how many I’ll do in one day.
Preparation
I created a list of common supplies required for complex cases so that the surgical coordinator knows what to order (See “Boarding checklist for complex anterior segment surgery).
When you encounter a complex case, carefully document your findings in the clinic with drawings or photographs of the problem to determine a surgical plan. Thinking ahead of time where you might place a polypropylene rivet or scleral fixate a haptic reduces valuable time in the OR. Taking the sketch or photograph into the OR and taping it to the microscope helps visualize the surgical plan prior to incision.
Create a standard protocol
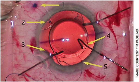
To improve efficiency, we have a standard protocol for eyes with large zonular dialysis, vitreous in the anterior chamber or subluxations (Figure 5). When I expect a scleral fixation case, my standard procedure is to board it for 1 hour with LMA anesthesia. But, with a well-planned strategy and all the tools ready in advance, I often find that we can do them in half that time. Our kit will include bimanual vitrectomy set up, vitreous stain, microsurgical instruments, capsule stain, capsule hooks, CTR with 10-0 nylon for suture guided CTR insertion, a capsule tension segment, modified CTR, 6-0 polypropylene suture and 30 G needles and marking pen (Figure 6). I also have three to four extra vials of ophthalmic viscosurgical device (OVD), both dispersive to tamponade vitreous, and cohesive if needed. In addition to the intended capsular bag IOL, a three-piece IOL or an IOL suitable for scleral fixation is ordered for back up.
I do not have the circulator open these extra tools in the kit until they are needed, but they are on the side table and ready at a moment’s notice. This advanced planning will help you and the OR staff respond swiftly as the need arises. This simple protocol has significantly reduced the time required for me to perform complex cases.
REIMBURSEMENT FOR COMPLEX CASES
Reimbursement for complex cases does not always reflect the work performed by the surgeon or the costs incurred by the ASC, and the additional supplies needed to perform these cases make costs add up quickly. Medicare reimburses surgeons approximately $125 more for these cases that can sometimes take 10 times longer than a routine case. The ASCs incur the brunt of the losses, as they do not receive additional reimbursement for the extra supplies or the microsurgical instruments that are essential to perform complex cases.
It is important to be aware of these costs and find the tools and techniques that work best for you, whether it be micrograspers or straight forceps, scleral haptic fixation or prolene belt loops, to minimize waste and increase efficiency.
Fortunately, my ASC does not impose any financial guidelines for these cases, but I try very hard to minimize costs to the ASC and insurance providers by planning ahead and being efficient with my time and use of extra materials and devices.
CONCLUSION
Complex anterior segment surgery is one of the most challenging yet gratifying elements of my job. The risks and costs of the surgery are higher, but the patients are some of the most grateful to receive care.
With all the challenges that come along with complex anterior segment surgery, surgeons who apply proper planning and technique may find it to be the most rewarding part of their practice. OM
REFERENCES
- Corcoran Consulting Group online resource. https://www.corcoranccg.com/products/faqs/ . Accessed July 7, 2022.
- Aaronson A, Viljanen A, Kanclerz P, Grzybowski A, Tuuminen R. Cataract complications study: an analysis of adverse effects among 14,520 eyes in relation to surgical experience. Ann Transl Med. 2020;8:1541.
- Billing and Coding: Cataract Extraction. https://www.cms.gov/medicare-coverage-database/view/article.aspx?articleId=56453&ver=6 . Accessed July 7, 2022.







